drkartik@drbhosalekartik.com
Email Us:
+91 84200 70081 / +91 8420070082
Call Us:

Angioplasty for Distal RCA 80-90% Stenosis

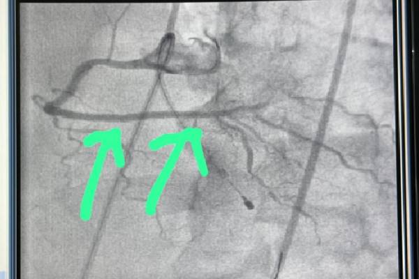
Below are the images showing the distal RCA before and after the angioplasty. The dramatic improvement after the blockage was cleared highlights the effectiveness of the treatment.

Before
After

Patient Overview:

A 60-year-old male patient presented with recurring chest pain and shortness of breath. After a detailed diagnostic workup, it was discovered that the patient had 80-90% stenosis (blockage) in the distal Right Coronary Artery (RCA), significantly restricting blood flow to the heart.

Diagnosis & Treatment:

Dr. Kartik Bhosale, a renowned Interventional Cardiologist in Pune, recommended angioplasty to treat the blockage and prevent further complications like heart attack. Three days ago, Dr. Bhosale performed a successful angioplasty, clearing the blockage and placing a stent to restore blood flow.

Results:

The procedure was a success, and the patient is now completely chest pain-free, with improved heart function. The risk of further heart complications has been drastically reduced, and the patient has returned to normal activities without discomfort.

Dr. Kartik Bhosale’s expertise ensures that patients receive the best care for complex heart conditions, restoring their health and quality of life.

Consult Dr. Kartik Bhosale for expert treatment if you or your loved ones experience signs of heart disease.